表姐一口黃牙看得好噁心,想說應該嫁不出去了,卻沒想到她竟然閃婚,原來是因為這個秘方
![]()
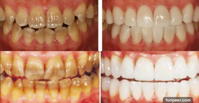
圖片截自新快報以及同福醫曉鈴口腔你可聽說過茶漬牙、咖啡牙?這些都是由於沒能及時去除食物殘留在牙齒表面的污垢,久而久之形成了牙垢導致牙齒越來越黃產生的問題。但日常的刷牙並不能真正地把牙齒變得很乾凈,很多人的牙齒都泛黃或者發黑。愛美網分享5分鐘除牙垢的方法,有效又簡單,在家就能輕輕鬆鬆清潔牙齒!
牙垢是什麼? ![]()
圖片截自找話題,下同常說的牙垢,實際上包括牙菌斑、軟垢和牙結石等幾部分。牙菌斑是不可見的,但它是牙周病的罪魁禍首。軟垢是口腔里各種殘渣的沉積物,是口腔細菌的食糧。牙結石則相當於細菌的城堡,由細菌建造用來藏匿細菌。牙垢的問題不僅影響我們的牙齒美觀問題,還會引起牙齦發炎、口腔問題,所以牙垢不能留!
![]()
牙垢的問題只能預防,如果問題嚴重的是要找牙醫洗牙才能解決問題,費錢費時間還很麻煩。快來看看這9個方法,學會日常清潔牙垢,就不用總跑醫院洗牙啦!
1. 草莓去牙垢
材料:草莓一顆,發酵粉1/2茶匙。方法:將草莓碾成糊狀,與發酵粉充分混合,用一個柔軟的牙刷將混合物均勻塗在牙齒表面,5分鐘後用牙膏將混合物刷掉,然後漱口。體驗心得:這個方法可是編輯從美國的一本雜誌上看到的,可神奇了!雜誌上說:草莓中含有的蘋果酸可以作為一種收放劑,清除牙齒表面的污點。當於蘋果酸和發酵粉混合時,它就成為一種天然的牙齒清潔劑,可以去除咖啡,紅酒和可樂在牙齒表面留下的污漬。最牛的一句話就是,它可以「迅速而便宜地點亮你的微笑」。看完那篇報導後,編輯直接毫不猶豫地買了3斤草莓,兩包發酵粉!用完後,那效果更是沒話說,牙齒白的像陶瓷一樣,幸福啊!
只是可能有草莓籽殘留在牙齒縫隙中,不過可以用牙籤去除。哦,對了!要提醒大家,不要過於頻繁地使用這種方法,否則草莓中的蘋果酸會損傷牙齒的琺琅質,每周一次比較合適。2. 食醋去牙垢
材料:食醋(陳醋、白醋都可以,但不能是醋精)方法:將一勺醋含在嘴裏1分鐘到3分鐘,然後吐掉,刷牙。體驗心得:效果也不錯,但牙齒會覺得非常的酸、麻(感覺會持續2分鐘左右)。不能連續使用或太經常做,大約2個月左右做一次就好了。否則對牙齒不利,是有緊急情況的時候,可以救急的方法(如出門約會前,發現牙齒好黃),還可以除口臭。 3. 紅糖刷牙法
材料:紅糖,淡鹽水方法:先取適量紅糖放進口中,含15分鐘左右,使全口的牙齒都浸泡在糖液中,再用較硬實的牙刷反覆刷2~3分鐘,然後用淡鹽水刷牙1~2分鐘,每日早晚各1次。體驗心得:這個方法稍微複雜,用的時間也長,但編輯連續試了一周左右後,牙垢有明顯地被清除掉喔。4. 墨魚骨去牙垢
材料:墨魚骨方法:用墨鬥魚的骨頭,碾碎成粉後放在牙刷上當牙膏使用,立桿見影。體驗心得:墨魚(烏賊)的身體里有塊大骨頭,是白色的,用指甲刮一刮,能出來很多白色粉末,把這些粉末當牙膏用,就可以牙齒變白。 5. 檸檬汁去牙垢![]()
材料:新鮮檸檬方法:檸檬去皮,榨成汁。刷完牙後,用棉簽沾檸檬汁擦每一顆牙齒。要細緻地擦,但不要蘸太多的汁,每次4滴或5滴就可以了,來回蘸個6次就全部擦拭到。其原理和食醋差不多,不僅去牙垢,還能美白牙齒清新口氣。
![]()
體驗心得:用檸檬汁的方法要注意不要着急,一定要把牙齒全部擦到,否則第二天牙齒的顏色會很不均勻。並且檸檬有一定的酸性,所以用的時候不要貪多,否則會傷害到牙齒和牙齦。
6. 酵母粉去牙垢
材料:酵母粉方法:在刷牙的時候,在牙刷上用點酵母粉可以幫助牙齒變白的(模特們常用的方法)。 7. 花生去牙垢
材料:生花生方法:把生花生嚼碎,不要吞下去,拿花生屑當牙膏刷牙,可以讓牙齒變白。8. 橘子皮去牙垢
材料:曬乾的橘子皮方法:把曬乾的橘子皮磨成粉,和牙膏混在一起刷牙,牙齒很快就可以白。9. 白礬刷牙法![]()
材料:研成粉末的白礬方法:將白礬研成粉末後,每次用牙刷蘸一些刷牙,每日2次,可除黃色牙垢。
[圖擷取自網路,如有疑問請私訊]
| 喜歡這篇嗎?快分享吧! |
前一頁
後一頁